Mesothelioma is a fatal form of cancer that is potentially deadly and even aggressive. Mesothelioma is caused by asbestos fibers and its symptoms typically do not appear until 10 to 50 years after exposure. When it comes to mesothelioma survival rates, they vary greatly from patient to patient. However, the average survival rate is about 12-18 months.
How to Identify Mesothelioma?
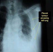
Basically, mesothelioma is a rare type of cancer that affects the outer lining of the organs of the body. This protective covering is called mesothelium.
The major cause of developing mesothelioma cancer is asbestos exposure. Once the asbestos fibers are inhaled or ingested they become lodged in the lung tissues causing chronic inflammation that ultimately result in mesothelioma cancer formation.These cancer cells aggressively spread to different body tissues, eventually making the disease more complicated.
Life Expectancy of Mesothelioma Cancer Patients
Because of poor mesothelioma prognosis, the disease is usually diagnosed at its advanced stages; making mesothelioma treatment options limited and less effective. That’s the reason, survival rates for mesothelioma sufferers is about 8 to 18 months even after vigorous treatment. Although, mesothelioma is incurable, there are some effective mesothelioma treatments that can be used to alleviate mesothelioma symptoms.
Additionally, researchers are looking for new treatments that may increase life expectancy of mesothelioma sufferers as well as destroy the cancer entirely.
Factors on which Mesothelioma Survival Rates Depend
Survival rates for mesothelioma are low and depend upon various factors such as age, gender, race, health of a patient, stage of the disease, size of the tumor and other demographics.
According to the recent statistics, approximately 18,000 Americans died of malignant mesothelioma, between 1999 and 2005. According to Bernstein Liebhard LLP, mesothelioma survival rates statistics do not apply on every patient because it varies greatly because of different factors. Moreover, mesothelioma survival rates and treatment success also depend on the type of mesothelioma and overall health of a patient and age.
Stages of Mesothelioma
Mesothelioma is categorized in four stages: Stage 1 is the earliest stage of mesothelioma, having 50 percent chances of living i.e. for five years. If the disease is diagnosed at Stage 2, survival rate for mesothelioma patients is about 2 to 4 years. While, the survival rates for patients diagnosed at Stage 3 is 6 to 8 months. If mesothelioma diagnosis is made at its last and advanced stage i.e. at Stage 4, then the average life expectancy is about six months or less. At this stage, prognosis is extremely difficult which make treatment less effective.
Survival Statistics for Mesothelioma Sufferers
Survival statistics for mesothelioma patients may differ, depending upon the source. It is because different clinical studies show different survival rates.
A study conducted in 2002 states that the overall percentage of mesothelioma patients with all stages who survive for 5 years is only 9 percent. This statistic comes from studies conducted in the 1998 to 2002 time period. In addition, the data from the National Cancer Institute (NCI) collected between 1988 and 2001 show that peritoneal mesothelioma patients have more survival rate than pleural mesothelioma patients. Approximately 25 percent of peritoneal mesothelioma patients are alive for three years, while only 11 percent of pleural mesothelioma patients may live for a year.
The Outlook
Although, there’s no cure available for mesothelioma but research process is being conducted to discover new and effective treatment options for helping mesothelioma patients live longer and improving their quality of life.

[…] rates for bone cancer. You can also read on bone cancer life expectancy by visiting Onlymyhealth. The survival rates for bone cancer indicated the percentage of people with certain stages and types… cancer survival rates. This refers to the percentage of people who will be alive after 5 years […]
[…] Mesothelioma is complicated and scary and being diagnosed with it is tantamount to a death sentence. This is because, while there have been advancements in medicine to extend the life of someone who has this type of tumor, it hasn’t advanced enough to cure the tumor completely. The diagnosis is terrible for everyone–the patient and the people who love that patient. When someone you love has been diagnosed with mesothelioma, it’s easy to feel helpless. This, however, is not the time to shut down. It is the time to put yourself aside and do your best to help your loved one with his (or her) diagnosis and prognosis. […]